病理学实验考试复习[PMED完全版](3)
网络资源 半岛在线注册/2009-01-14
局部血液循环障碍切片
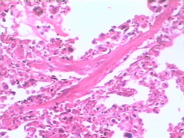
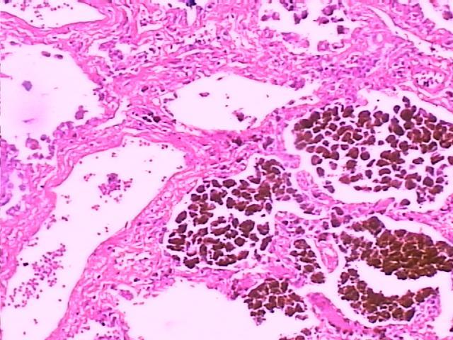
肺褐色硬化 brown induration of lung
1.肺泡壁增厚,肺泡壁毛细血管扩张充血
2.部分肺泡腔内含心衰细胞或含铁血黄素(褐色),部分肺泡内有淡红色水肿液
3.部分肺泡壁内可见红染的胶原纤维束(硬化)
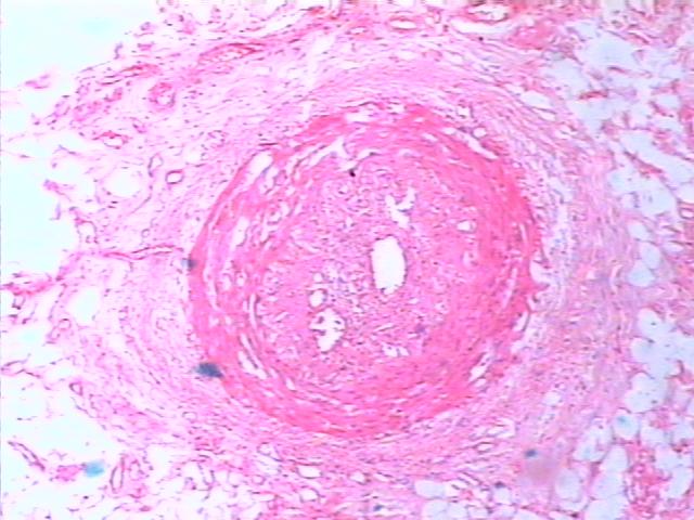
血栓的机化与再通 organization and recanalization of thrombus
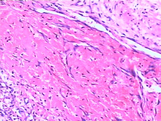
1.血管腔内可见血栓与管壁紧密相连
2.血栓与血管壁相连处可见较多毛细血管、成纤维细胞、纤维细胞(机化)
3.血栓内散在大小不等的不规则腔隙,其中大的腔隙内被覆内皮细胞,内含红细胞(再通)。
肺褐色硬化 brown induration of lung
1.肺泡壁增厚,肺泡壁毛细血管扩张充血
2.部分肺泡腔内含心衰细胞或含铁血黄素(褐色),部分肺泡内有淡红色水肿液
3.部分肺泡壁内可见红染的胶原纤维束(硬化)
血栓的机化与再通 organization and recanalization of thrombus
1.血管腔内可见血栓与管壁紧密相连
2.血栓与血管壁相连处可见较多毛细血管、成纤维细胞、纤维细胞(机化)
3.血栓内散在大小不等的不规则腔隙,其中大的腔隙内被覆内皮细胞,内含红细胞(再通)。
相关话题/
领限时大额优惠券,享本站正版半岛在线注册考试资料!
优惠券领取后72小时内有效,10万种最新半岛在线注册考试考证类电子打印资料任你选。涵盖全国500余所院校半岛在线注册专业课、200多种职业资格考试、1100多种经典教材,产品类型包含电子书、题库、全套资料以及视频,无论您是半岛在线注册复习、考证刷题,还是考前冲刺等,不同类型的产品可满足您学习上的不同需求。 ...考试优惠券 本站小编 Free壹佰分学习网 2022-09-19
Free半岛在线注册考试FreeKaoYan.Com
欢迎来到Free半岛在线注册考试,"为实现人生的Free而奋斗"
© 2020 FreeKaoYan! . All rights reserved.
